Ugrás a tartalomra

Esetbemutatás

Mosolytár 10A
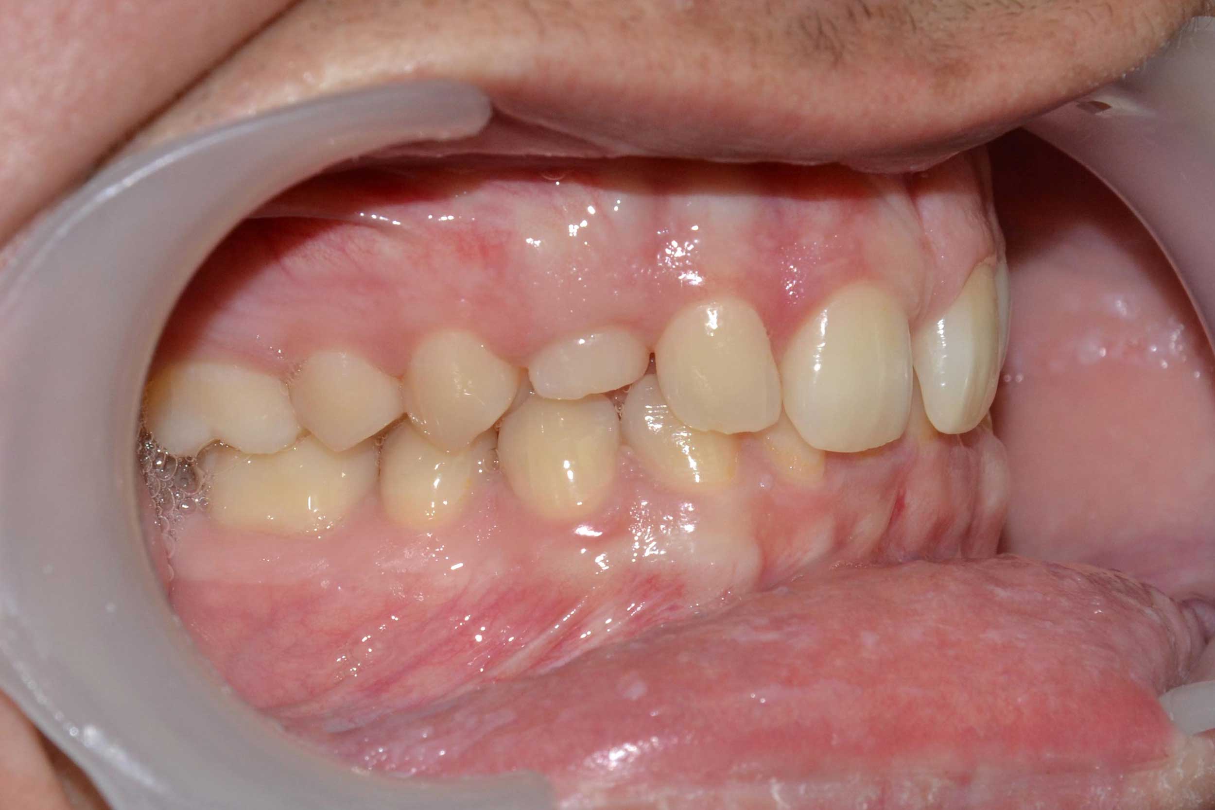
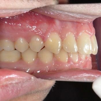
Kezelés előttKezelés után

Ádám és édesanyja fogorvosuk javaslatára kerestek fel a felső állcsontban rekedt maradó szemfogak sorbaállításának kérésével. A panoráma röntgenfelvétel elemzése alapján egyértelművé vált, hogy a maradó szemfogak hibás tengelyállása okozta a tej szemfogak perzisztenciáját és a maradó szemfogak előtörésének a hiányát. A szemfogak 30 és 45 fokos dőlésének klinikai képet tovább árnyalták egyéb fogszabályozási eltérések is, mint például a mélyharapás, a nagymetszők közötti rés, illetve jobb oldali második nagyőrlők közötti fordított keresztharapás.

A probléma súlyosságát figyelembe véve, Ádám nagyon bölcsen az önligírozó fém fogszabályozó mellett döntött, melyet bite turbo harapásemelővel és különböző intermaxilláris gumihúzásokkal egészítettünk ki. Az önligírozó fogszabályozó ellenére a kezelés ideje igen hosszú volt. Ennek oka, hogy a szemfogak szájsebészeti feltárása közben derült fény a levontatantó fogak dőlésén kívüli 100-160 fokos tengely körüli elcsavarodására is.

Ádám kitartásának köszönhetően a kezelés végére minden maradó fog a helyére került és egy esztétikailag és funkcionálisan is tökéletes harapást kaptunk.

A kezelés teljes időtartama: 3 év

Share icon

Dr. Képes Dániel

Fogszabályozó szakorvos

Várlak az első fogszabályozási konzultációdra!
Tegyünk együtt az új mosolyodért.

  1. Rendelések
  2. K, Sz: 09-14:00, Cs:13:00-20:00, P: 13:00-19:00
    1111 Budapest, Lágymányosi utca 7.
  3. Térkép