Esetbemutatás
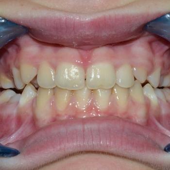
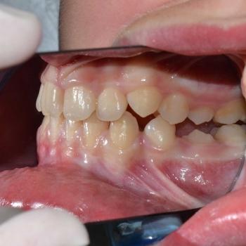
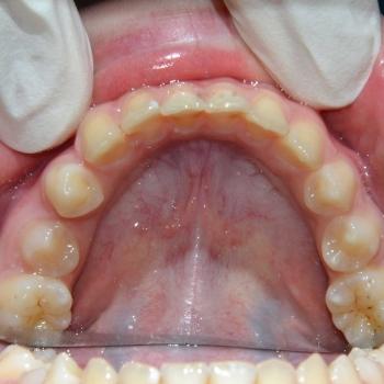
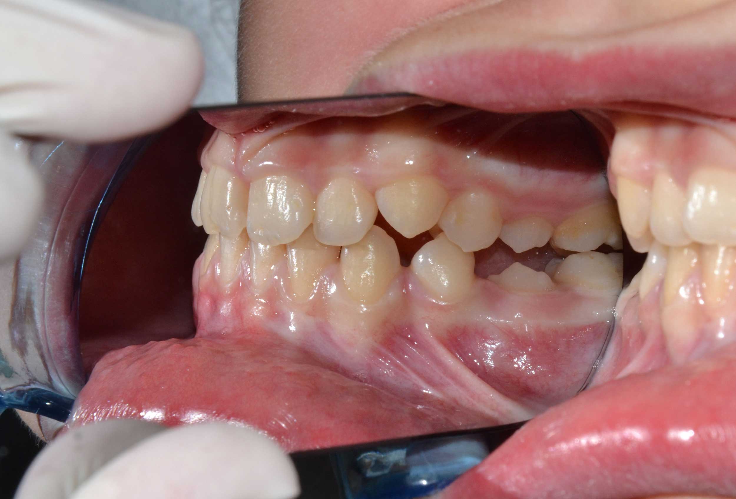
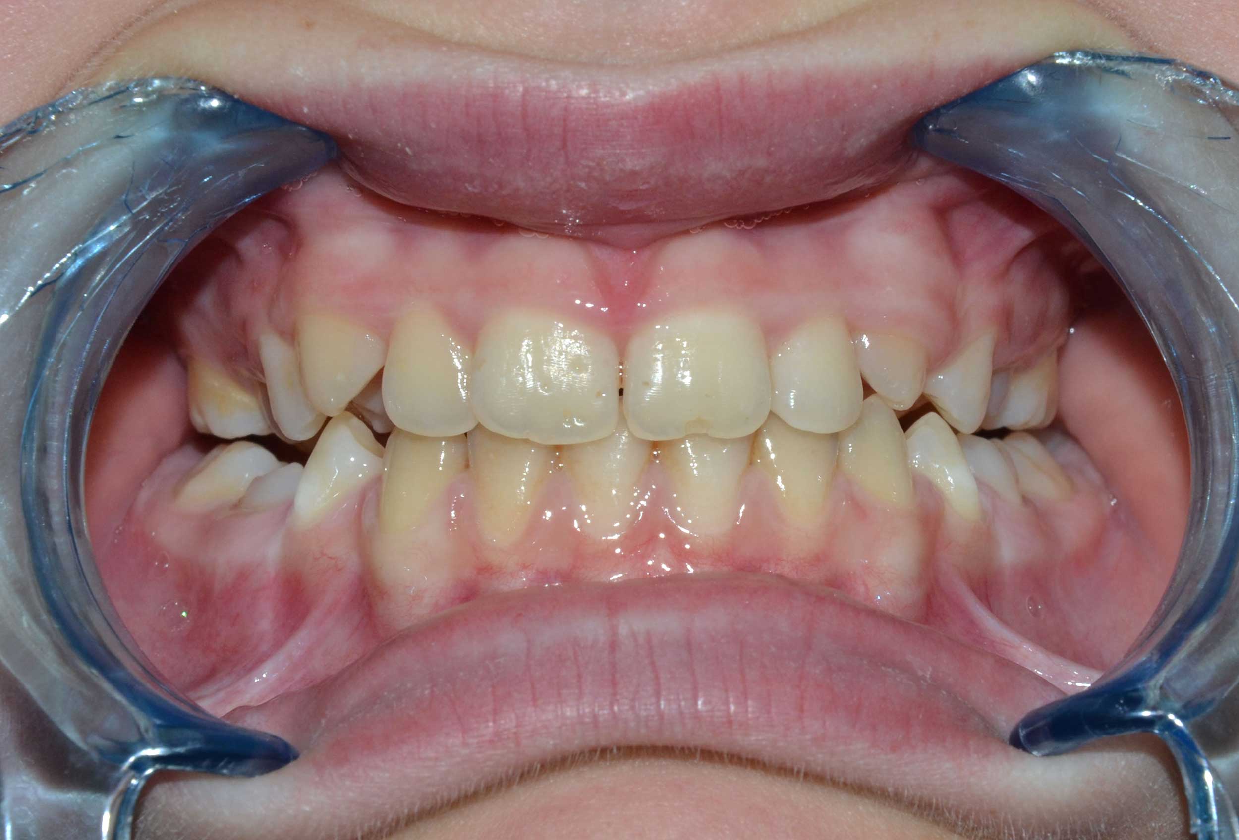
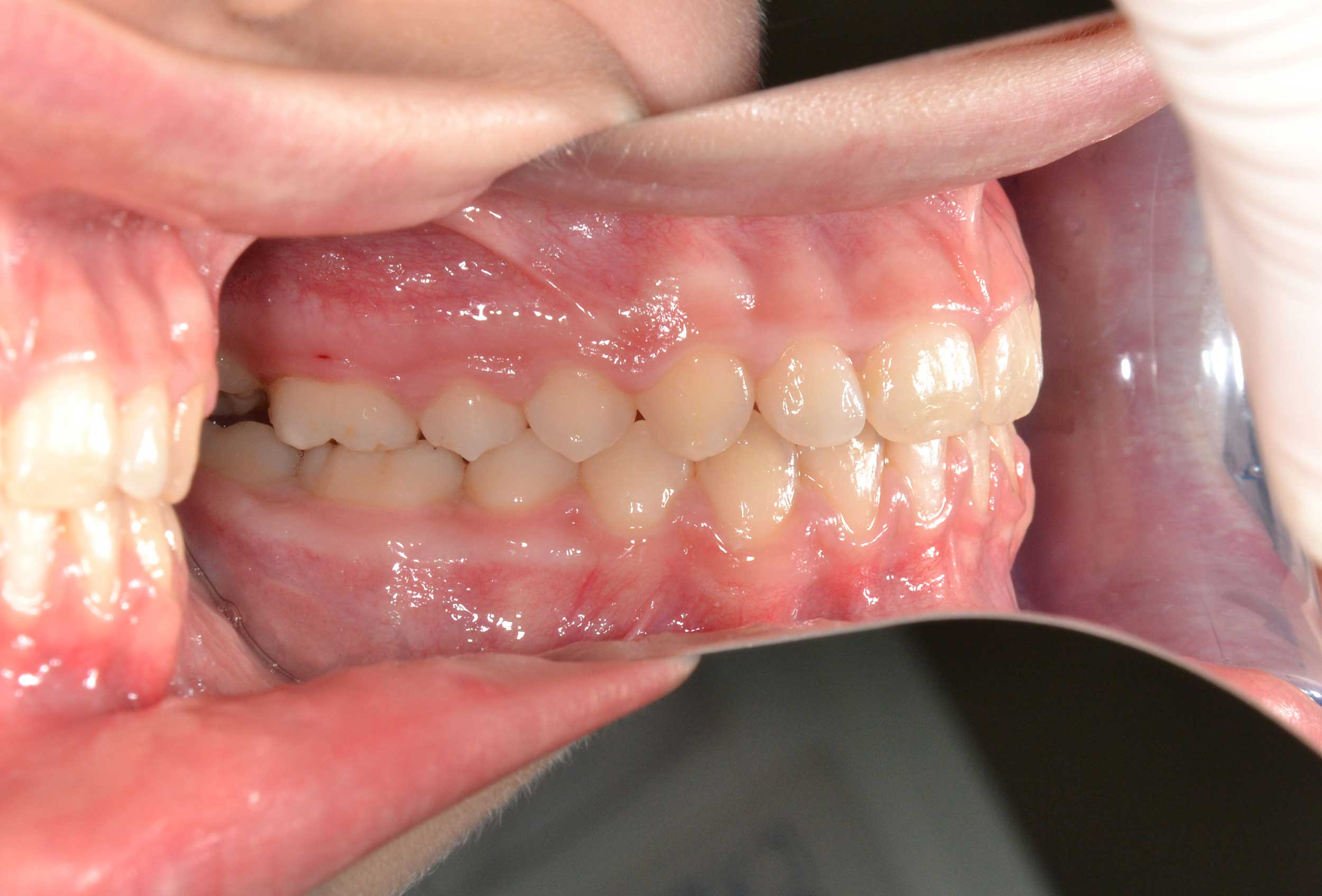
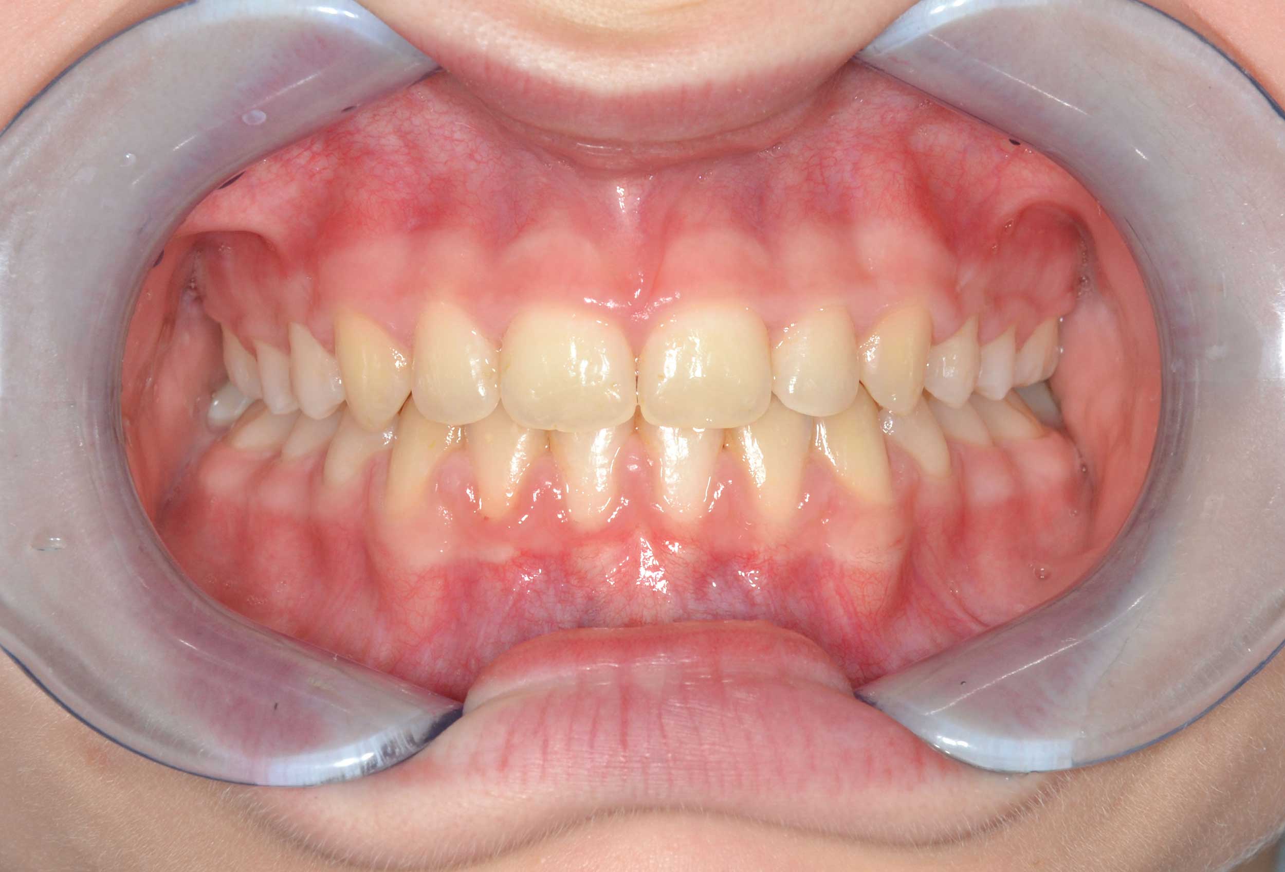
Kata és édesanyja a legjobb időszakban, közvetlenül az utolsó tejfog elvesztése után kerestek fel fogorvosuk javaslatára. Laikus számára elsőre nem egyértelmű mi is indokolhatja a fogszabályozást ebben az esetben hiszen se túl nagy torlódás, se kifejezett résesség nem figyelhető meg a fogíveken. De ha jobban szemügyre vesszük a fogak érintkezését, akkor megfigyelhetjük, hogy az alsó és felső középvonal egymáshoz képest el van csúszva, illetve a bal oldalon helytelenül, az alsó és felső szemfogak egymásra harapnak (normális esetben a felső szemfog, az alsó szemfog és alsó első kisőrlő közé harap, mint jelen esetben a jobb oldalon vagy a végeredményt tekintve mindkét oldalon). Ennek oka az alsó állcsont hibás, elcsavarodott pozíciója volt, mely a későbbiekben állkapocsízületi problémák forrása lehetett volna.
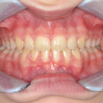
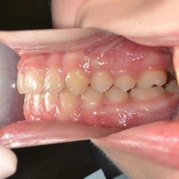
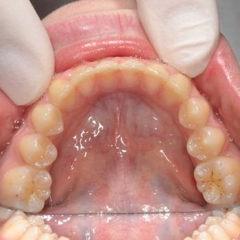
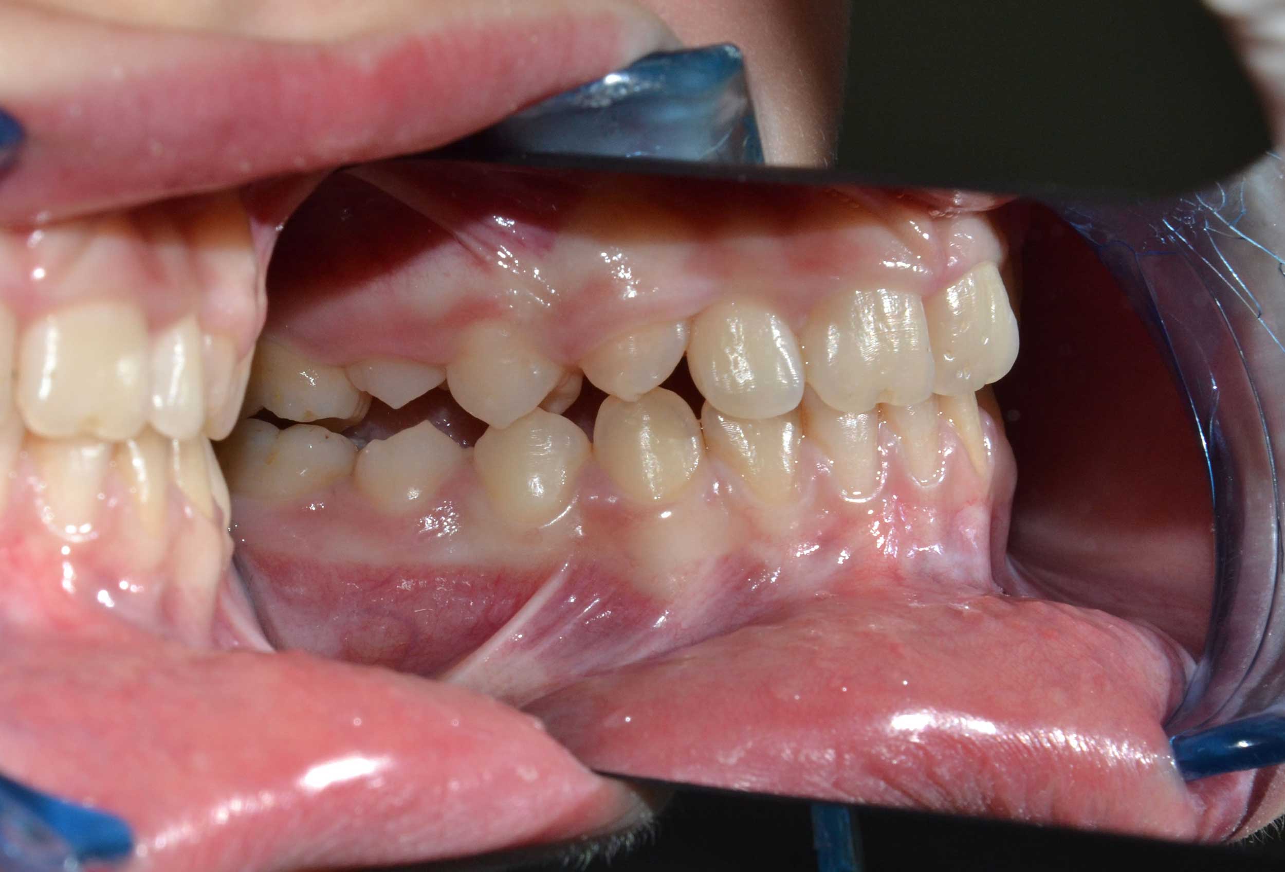
A kezelés prémium kerámia fogszabályozóval történt, hiszen az esztétikus fogszabályozókkal is tökéletesen korrigálhatóak még a bonyolult, asszimetrikus eltérések is. Az alsó és felső fogív kiegyenesítése után, Kata fiatal korának és a különböző irányú intermaxillaris gumihúzások nagyon becsületes használatának hála a féloldali harapási eltérés korrigálódott.
A fogszabályozó levétele után, hogy Kata fogai még ragyogóbbak legyenek a felső metszőfogain található behúzódásokat esztétikus tömőanyaggal töltöttük ki, hogy semmi se zavarhassa önfeledt mosolyát.
A kezelés teljes időtartama: 1év 9 hónap









