Esetbemutatás
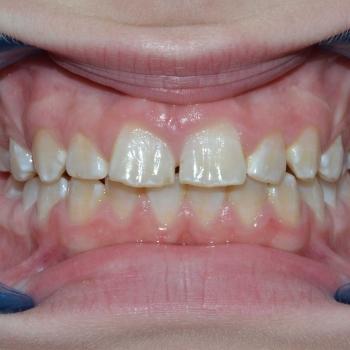
Gergő és édesanyja fogorvosi javaslatra keresett fel, a bal felső 2. kisőrlő hibás pozíciója miatt. A konzultáció során egyértelművé vált, hogy az előbb említett fog helyét teljes mértékben elfoglalták az előtte, illetve mögötte elhelyezkedő fogak, gyakorlatilag 0mm helyet hagyva a probléma megoldására. Ilyen esetekben felmerül a szájpadi irányba kiszorult fog eltávolítása, de a felső fogívben tapasztalható résesség a helyteremtés mellett szólt.
A kezelés első lépéseként Frog készülékkel hátrafelé mozdítottuk a bal felső első nagyőrlőt, ezzel elrendezve a nagyőrlők érintkezését, másfelől 4mm helyet teremtve a második kisőrlő számára. Ez a hely még nem volt elegendő, így rögzített fogszabályozóval zártuk a nagymetszők közötti, illetve az első kisőrlő előtti rést, mellyel további 2.5mm helyet nyertünk. Az így már 6.5mm-es rés elegendő volt ahhoz, hogy a kiszorult kisőrlőt bemozdítsuk a kívánt pozícióba, ezzel kialakítva egy funkcionálisan megfelelő és esztétikus felső fogívet. Mivel a harapás korrekciója, azaz a funkció helyreállítása kizárólag a felső fogív kezelésével is kivitelezhető volt, így a szülők nem kérték az alsó fogív torlódásának a megoldását.
A kezelés teljes időtartama: 2 év









