Esetbemutatás
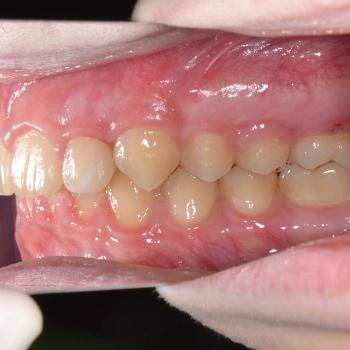
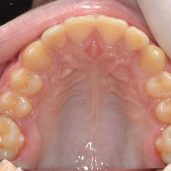
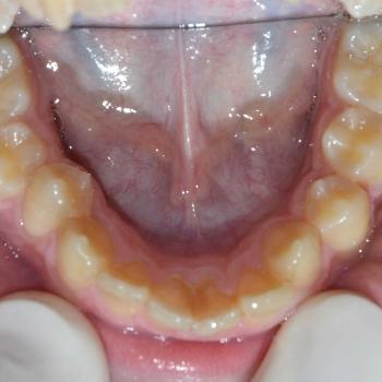
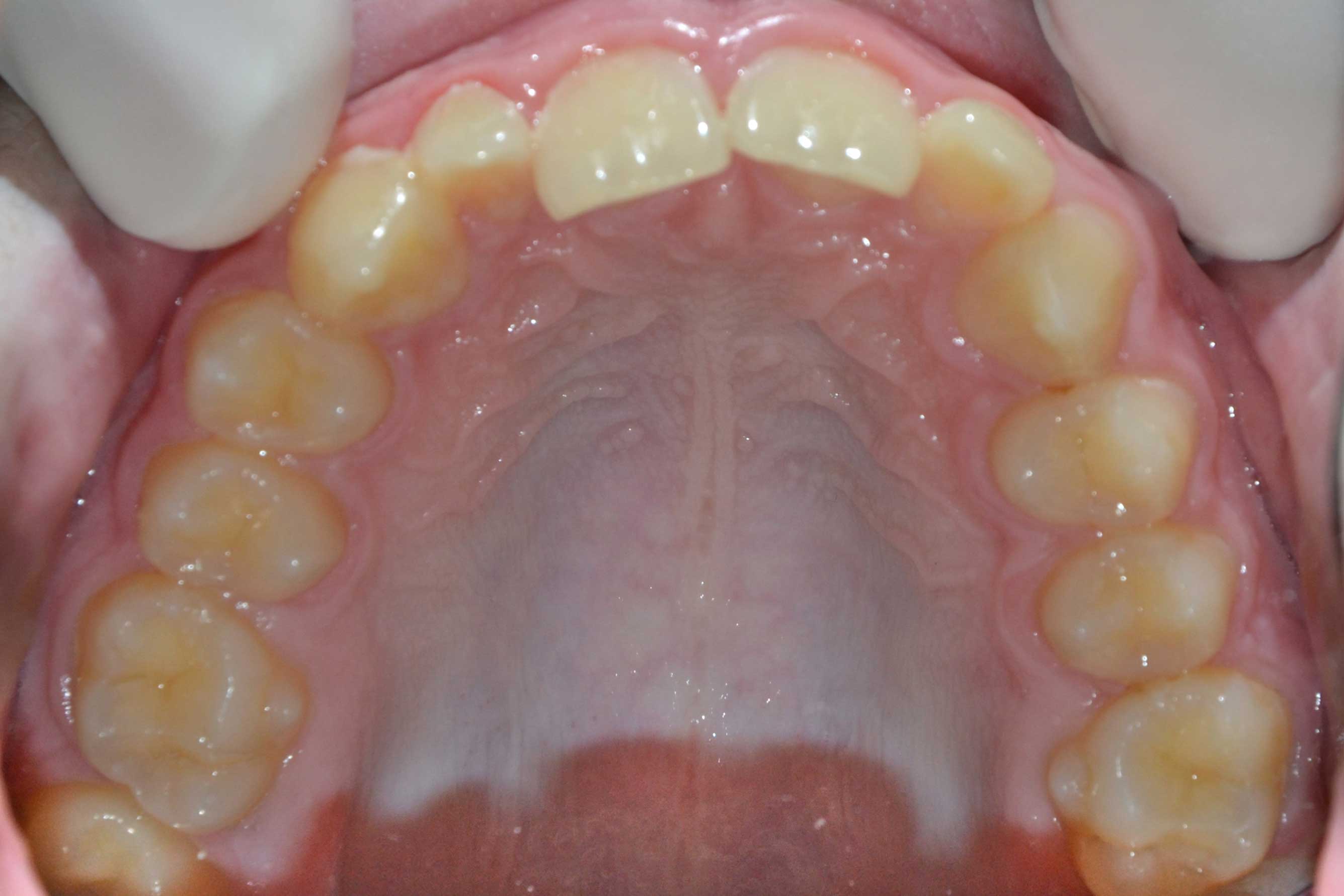
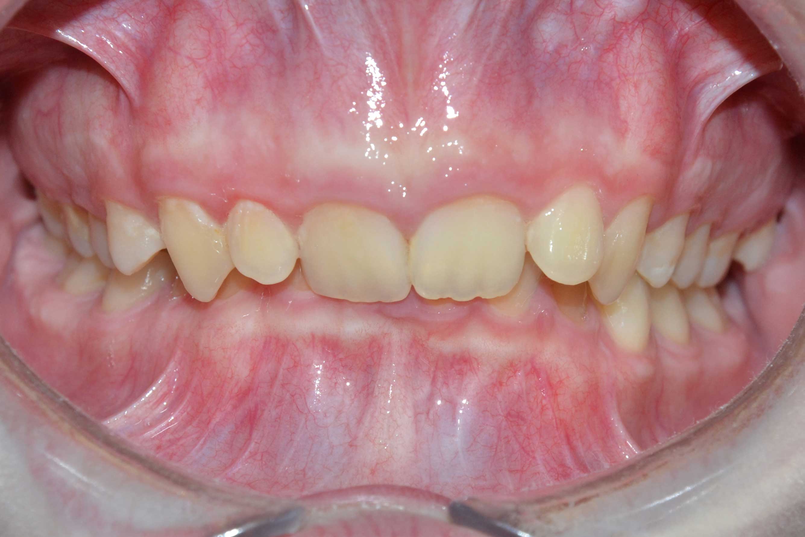
Balázs és édesanyja konzultáció céljából keresett fel, hogy egyértelműen kiderüljön számukra szükséges-e a fogszabályozó kezelés vagy sem. Már rögtön az első vizsgálat alkalmával fény derült több olyan problémára is, melyek fogszabályozást igényelnek. Ilyen volt például a súlyos mélyharapás, a hátrafelé dőlő felső metszők, illetve az Angle II. osztályú harapási eltérés is. A mintavétel, a röntgenek és a fotók kiértékelése után további problémaként merült fel a felső fogív szűkülete és a kismetszők méretaránytalansága, azaz a túlzott keskenységük.
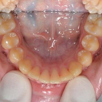
A kezelést Quadhelix fogszabályozóval kezdtük el a felső fogív tágítása érdekében. Ezután került felragasztásra az alsó és felső fogívre a Balázs és szülei által kiválasztott fém önligírozó fogszabályozó. Ezen túlmenően Bite turbo harapásemelő segített a mélyharapás, intermaxillaris gumihúzás pedig az Angle II. osztályú harapási eltérés korrigálásában. A fogak méretaránytalansága miatt a kezelés végén a kismetszőket tömőanyaggal építettük fel, hogy a tökéletes harapáshoz résmentes fogazat társuljon. A fogak felépítéséhez az adott fogakat nem kell megfúrni, a tömőanyag kizárólag ragasztásos módszerrel rögzül, így nem károsodik a fogzománc.
A kezelés teljes időtartama: 2 év









